Dental Bonding in Jacksonville, FL
Dental Bonding
Repair and enhance your smile with our precise dental bonding treatments.
Enhance Your Teeth Instantly With Dental Bonding in Duval County FL
What Is Dental Bonding?
Dental bonding is a quick, effective procedure where a tooth-colored resin is applied to repair chipped, cracked, or discolored teeth. This versatile treatment blends seamlessly with your natural teeth, enhancing your smile while providing lasting strength and durability.
In the consultation, we will assess your teeth and discuss your goals for improving your smile.
The bonding material is carefully applied to the affected areas and sculpted to blend with your teeth.
The resin is hardened with a special light, followed by polishing and adjustments to ensure a natural look.
Signs You Need Dental Bonding
Dental bonding is a versatile cosmetic procedure that can repair chipped, cracked, or discolored teeth, improving the overall look of your smile. The bonding material blends seamlessly with your natural teeth, restoring their shape and strength while enhancing their appearance. It’s a quick and effective way to improve minor imperfections without more invasive treatments.
If you have minor cosmetic concerns, dental bonding provides a simple, long-lasting solution to give you a more uniform and attractive smile. It’s a cost-effective way to fix imperfections and restore your confidence.
Perfect Your Smile with Dental Bonding at Cre8
At Cre8 Smile Studio, we offer dental bonding as a simple and effective way to repair chipped, cracked, or discolored teeth. Using tooth-colored resin, we restore your teeth’s natural appearance, improving both function and aesthetics in just one visit. Dental bonding provides a quick solution for minor imperfections while blending seamlessly with your smile.
At Cre8 Smile Studio, we prioritize personalized care and precision. Our skilled team ensures that your bonding procedure is smooth and comfortable, delivering results you can rely on. Start your journey to a more polished smile with a consultation at Cre8 Smile Studio today.
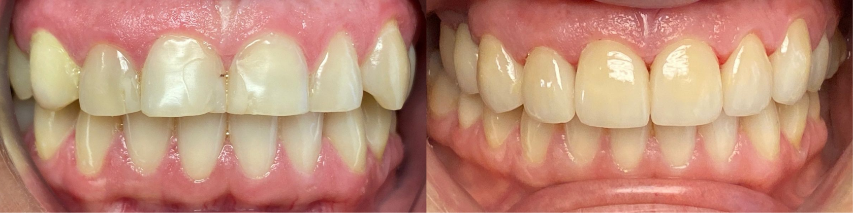
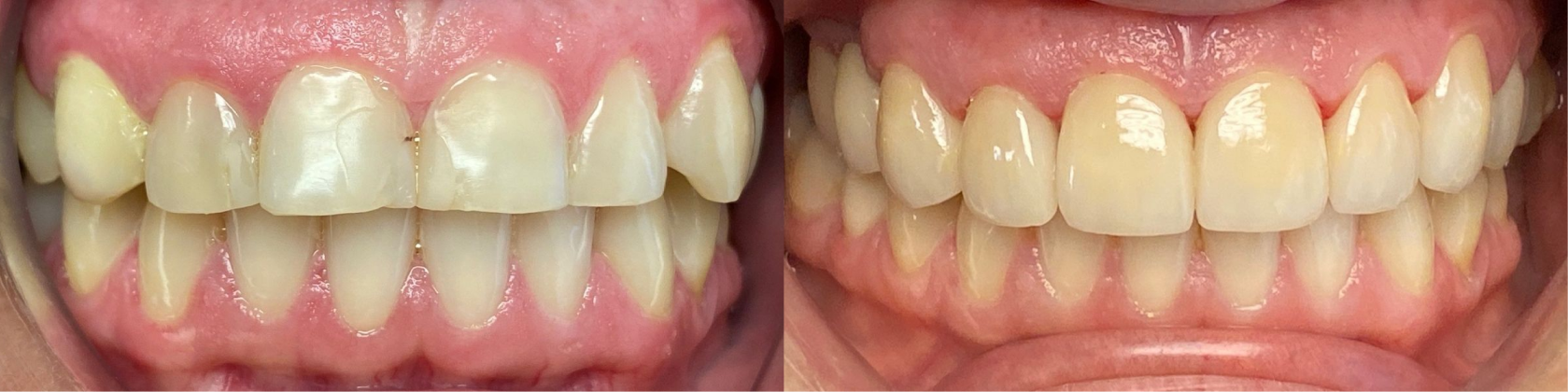
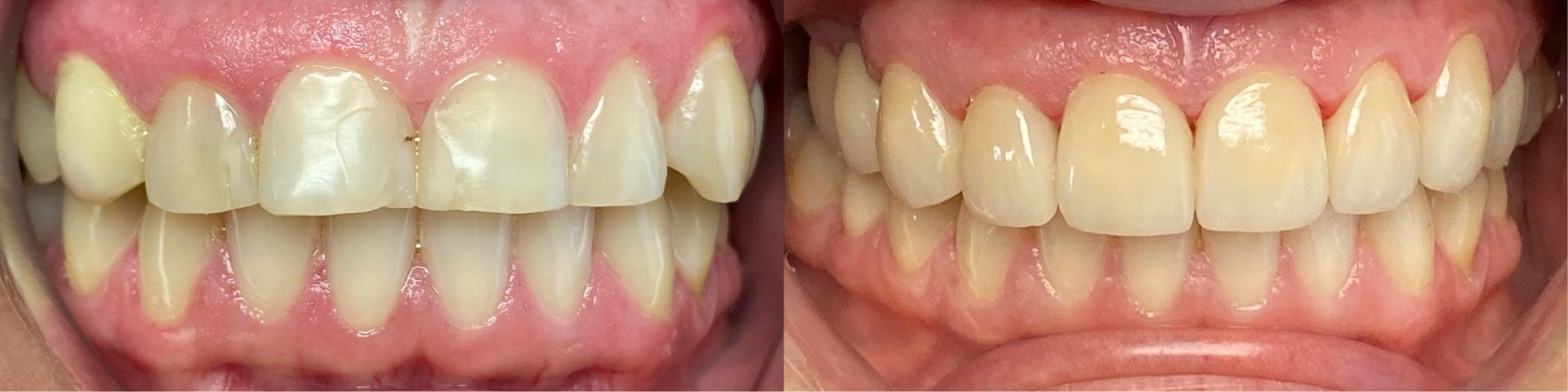
View Our Client Transformations
Before & Afters
At Cre8 Smile Studio, we take pride in the remarkable transformations our patients experience with our dental treatments.
Explore Our Comprehensive Treatments
Other Services
Exceptional Care, Exceptional Smiles
What Makes Cre8 Smile Studio Different
Cre8 Smile Studio is committed to delivering exceptional dental experiences that enhance your overall well-being.




